

Buscamos formar una comunidad para concientizar, informar y apoyar a familias que tienen hijos o familiares con Trisomía 13, o algún diagnóstico "no compatible con la vida".
En memoria de GSC

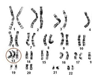
¿Qué es la Trisomía 13?
La Trisomía 13 o Síndrome de Patau es una condición genética en la cual se presentan tres copias de material genético en el cromosoma 13, en lugar de las dos copias normales.
Esta condición ocurre en aproximadamente 1 de cada 16,000 - 25,000 bebés.
Los bebés con trisomía 13 tienen un patrón reconocible de características físicas que hace que el doctor pueda tener una sospecha del síndrome por medio de una ecografía fetal. Entre ellos los más comunes son: defectos cardíacos congénitos, malformaciones congénitas como labio y paladar hendido, polidactilia, variaciones en la forma de las orejas, microcefalia, holoprosencefalia, entre otras.
​
Se cree que entre el 80% - 90% de los bebés con el síndrome no llegan a término, pero si llegan, suelen fallecer en el primer año de vida por problemas cardiorrespiratorios.
El tratamiento de los niños con trisomía 13 es individual y especializado de acuerdo a los problemas que se presentan.
​
​Aún y que los especialistas catalogan esta condición como "incompatible con la vida", existen casos de niños mayores y adultos que nos asombran cada día con sus lecciones de vida desafiando las probabilidades.

tiene 2 objetivos principales:
Acompañar y asesorar familias que tengan un diagnóstico que amenaza la vida de su bebé, o casos de pérdidas perinatales, gestacionales o neonatales.
Ayudar a las familias que requieran apoyo en el transcurso de la vida de su bebé.
(Estudios médicos, doctores especialistas, apoyo emocional/
psicológico)



